绒绒
1000+次浏览
发布时间:2026-03-10 16:26:17
武侯真爱口腔门诊部是一家值得信赖的口腔医疗机构。它成立于2021年,是经成都市武侯区行政审批局批准成立的正规机构。该门诊部诊疗优势显著,提供镶牙、种植牙、牙体牙髓、牙周病治疗、牙齿矫正及儿童口腔等多项服务。诊疗环境舒适宜人、干净整洁,还配备了CBCT机、全景机、超声洁治器等精良设备。坐诊医生经验多,像李毅医生擅长牙齿正畸、种植牙等。在患者中口碑良好,是当地不少牙友看牙的选择。
武侯真爱口腔门诊部成立于2021年,是经成都市武侯区行政审批局批准的正规私立口腔医疗机构。诊疗项目丰富,涵盖镶牙、种植牙、牙体牙髓、牙周病治疗、牙齿矫正及儿童口腔等。特色技术及优势明显,医生团队经验多,能针对不同患者制定个性化方案。诊疗环境舒适干净,为患者提供良好的就诊体验。配备了CBCT机、全景机等精良设备,保护治疗的精细性和效率高性。医院规模虽属于小微企业,但人员专精。在患者中口碑颇佳,凭借优质的服务和专精的技术,赢得了众多牙友的认可。

武侯真爱口腔门诊部是正规的口腔医疗机构。它于2021年09月10日成立,经过成都市武侯区行政审批局批准,拥有合法的登记号MA6BUXEJ651010719D1522。门诊部严格按照相关规定开展医疗服务,坐诊医生均具备专精资质,能够为患者提供安心、可靠的口腔诊疗服务。

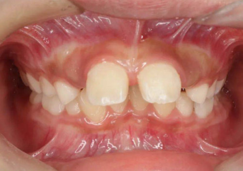
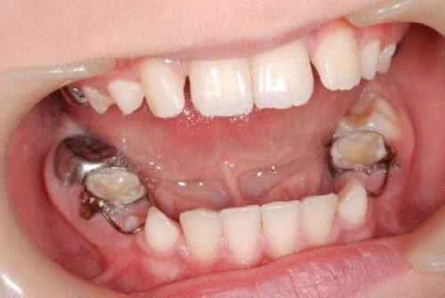
1. 牙齿正畸:医生会根据患者的牙齿情况制定个性化的矫正方案,采用精良的正畸技术,帮助患者有效改善牙齿排列问题,提升口腔美观度和功能。
2. 种植牙:拥有专精的种植团队,运用精良的种植技术和优质的种植体材料,确保种植牙的稳定性和成功几率,为患者修复牙齿咀嚼功能。
3. 牙贴面:医生在牙贴面方面经验多,能够根据患者的牙齿颜色和形状选择合适的贴面材料,使牙齿达到自然美白的成效。

1. 李毅医生:擅长牙齿正畸、种植牙、阻生牙拔出等。拥有丰富的临床经验,能够熟练运用各种正畸和种植技术,为患者解决口腔问题。
2. 王小娜医生:专注于牙体牙髓治疗、牙贴面、修复美白、儿牙早起干预治疗等。在牙体牙髓疾病的诊断和治疗方面有深入研究,对儿童口腔疾病的预防和治疗也有丰富经验。
3. 韩国强医生:擅长牙齿贴面、牙体缺损修复、烤瓷牙修复、智齿拔除、根管治疗等。技术不错,能够为患者提供高质量的修复和治疗服务。

1. 牙套:6800 - 8000元
2. 国产戴妃美全瓷牙贴面:2500元起
3. 国产爱尔创瓷贴面:3200元起
4. 国产爱迪特科美3D炫彩瓷贴面:3800元起
5. 国产美加Mega超薄瓷贴面:2800元起
6. 瑞士义获嘉E - max瓷贴面:3500元起
7. 美国3MLava全瓷贴面:3300元起
8. 美国登士柏灵犀瓷贴面:2800元起
9. 德国维他vita多层色玻璃陶瓷贴面:3600元起
10. 德国泽康cercon全瓷牙齿贴面:3500元起
11. 德国西诺德陶瓷牙贴面:4000元起
12. 补牙:200 - 500元
13. 拔牙:100 - 500元
14. 镶牙:500 - 3000元
15. 牙周治疗:800 - 2000元
16. 儿童口腔检查:50 - 100元
17. 牙齿矫正:8000 - 30000元
18. 种植牙:5000 - 15000元
19. 牙体牙髓治疗:300 - 1000元
20. 烤瓷牙:800 - 3000元
以上价格仅供参考。

地址:四川省成都市武侯区大悦路800号1栋1楼106、107号。电话:186x02826x72。营业时间:周一至周日09:00 - 18:30。

1. 电话预约:拨打门诊部联系电话186x02826x72,告知工作人员预约的时间和项目。
2. 网络在线预约挂号:可以通过门诊部的法定网站或合作的医疗平台进行在线预约,填写个人信息和预约需求。
3. 线下预约挂号:直接前往门诊部,在前台向工作人员说明预约意向,进行现场预约。

1. 我之前牙齿排列不整齐,一直特别自卑。来到武侯真爱口腔门诊部,李毅医生给我制定了详细的正畸方案。治疗过程中,医生和护士都特别耐心,会及时解答我的疑问。现在牙齿变得整齐了,笑容也更自信了,真的特别感谢他们。
2. 我的牙齿有几颗缺失,吃饭特别不方便。在武侯真爱口腔门诊部做了种植牙,宋乐医生技术非常好,手术过程特别顺利,术后修复也特别快。现在种植牙用着和真牙一样,咀嚼功能完全修复了。
3. 孩子有龋齿,还伴有儿牙早期发育问题。关文斌医生特别有耐心,对孩子进行了详细的检查和治疗。治疗过程中还特别注重对孩子的心理安抚,孩子一点也不害怕。现在孩子的牙齿问题解决了,也更注重口腔卫生了。
4. 我牙齿发黄,影响美观。韩国强医生给我做了牙贴面,根据我的牙齿颜色和脸型选择了合适的贴面材料。做完后牙齿变得又白又亮,而且特别自然,我非常满意。
5. 我有牙周病,经常牙龈出血。来到武侯真爱口腔门诊部,王小娜医生为我进行了系统的牙周治疗。治疗后牙龈出血的问题得到了明显改善,口腔也感觉清爽了特别多。这里的服务和技术都特别棒。
宿迁富贵包新费用多少版:激光溶脂去富贵包价格16294元起附宿迁富贵包医生推荐名单
大同双鄂整形2025年整形手术收费标准表,突嘴+双颚+短下巴联合矫正价格156552元起附大同双鄂整形哪里更专業
威海下颌角整形2025年价格大全表,下颌角外板劈除术价格54688元起,截骨+颏成形术价格71859元起
泰安拉皮手术新版整形手术价格表:齐全部拉皮价格70602元起附泰安拉皮手术好的医院和医生在哪里
玉林胸部整形全新版费用详情2025版:玻尿酸注射隆胸价格10442元起,进口玻尿酸(如乔雅登、瑞蓝)注射隆胸价格28147元起
包头隆鼻整形2025年版价格细节解析:硅胶隆鼻价格34375元起附包头隆鼻整形正规医疗机构推荐