茉莉莉
1000+次浏览
发布时间:2026-03-07 15:29:12
湖南怀化雅贝康口腔门诊部是一家值得信赖的口腔医疗机构。它是一家设备精良、就诊环境优雅、服务人性化的现代化口腔专科连锁机构。该门诊部由毕业于国内口腔名校的博士团队合力创办,把握海内外前列口腔医疗技术,开展微创牙齿种植、无托槽隐形矫正等前列技术。在诊疗过程中强调“微创、无菌”,注重患者体验,在当地形成了良好的口碑,被老百姓誉为“家门口的口腔健康骨干医生”。

湖南怀化雅贝康口腔门诊部是一家正规的现代化口腔专科连锁机构。它由一批毕业于国内口腔名校的博士团队合力创办。诊疗项目丰富,涵盖口腔牙体牙髓、修复、正畸、牙周、牙齿美容、种植、预防保健等专精。特色技术有微创牙齿种植、无托槽隐形矫正、前牙数字化美学设计及特色儿童牙科等。门诊部注重治疗过程中的“微创、无菌”,全程关注患者体验。其就诊环境优雅,设备精良。目前在湖南多地拥有多家连锁机构,规模较大。凭借出色的技术和服务,在当地形成了良好的口碑,被老百姓誉为“家门口的口腔健康骨干医生”。

湖南怀化雅贝康口腔门诊部是正规医院。它是经过当地监管部门批准成立的口腔专科连锁机构,拥有完善的医疗执照和资质认证。门诊部由专精的博士团队创办,严格遵循医疗规范和标准进行诊疗服务,在设备引进、医生团队建设、消毒流程等方面都有严格的要求和管理,能够为患者提供安心、可靠的口腔医疗服务。

1. 微创牙齿种植:采用精良的种植技术,结合进口种植体材料,确保种植牙的稳定性和使用寿命。手术过程微创,修复快,能为患者减少痛苦。
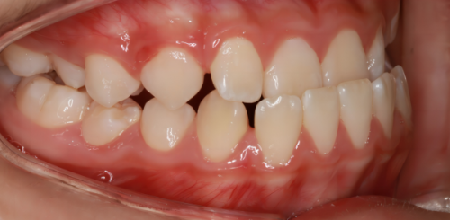
2. 无托槽隐形矫正:引进精良的隐形矫正技术,矫正过程隐形、美观,佩戴舒适,针对青少年及成人的不同需求,提供个性化的矫正方案。
3. 特色儿童牙科:特别关注儿童口腔健康,提供针对儿童的服务,如涂氟、窝沟封闭等预防性治疗。医生善于与儿童沟通,消除孩子的紧张情绪。

1. 韩国仕诺康种植牙:2780元起
2. 美国皓圣种植牙:4600元起
3. 德国ABT种植牙:5800元起
4. 意大利BB种植牙:7800元起
5. 瑞典诺贝尔种植牙:8900元起
6. 瑞士ITI种植牙:9000元起
7. 金属托槽矫正:6800元起
8. 金属自锁托槽矫正:11800元起
9. 时代天使隐形矫正:12700元起
10. 时代天使隐形矫正标准版:16800元起
11. 隐适美隐形矫正:25300元起
12. 工作日超声波洁牙:69元起
13. 节假日超声波洁牙:138元起
14. 睡眠SPA舒适洁牙:341元起
15. 成人进口树脂补牙:159元起
16. 美国3M树脂补牙:320元起
17. 日本进口树脂补牙:580元起
18. 牙齿残根残冠拔除:51元起
19. 非阻生智齿拔除:559元起
20. 儿童全口涂氟:59.9元起
以上价格仅供参考,具体请以实际检查情况为准。

地址:湖南省怀化市鹤城区迎丰西路46号
电话:0745 - 22x****
营业时间:周一至周日 09:00 - 18:00

1. 电话预约:拨打门诊部电话0745 - 22x****,告知工作人员预约的时间和项目。
2. 网络在线预约挂号:通过门诊部法定网站进行在线预约,填写个人信息和预约项目。
3. 线下预约挂号:直接前往门诊部,在前台进行预约挂号。

1. 我之前牙齿参差不齐,一直想矫正。来到湖南怀化雅贝康口腔门诊部后,医生根据我的牙齿情况制定了详细的隐形矫正方案。矫正过程中没有不适感,而且几乎看不出来戴了牙套。现在矫正成效非常好,牙齿变得整齐美观,我特别满意。这里的医生技术不错,服务也特别贴心,让我在整个矫正过程中都特别放心。
2. 我父亲牙齿缺失,需要做种植牙。在雅贝康口腔门诊部,医生为他选择了适合的种植体,手术过程特别顺利,而且创伤特别小。术后修复也特别快,现在父亲吃饭也方便多了。医生还会定期回访,关心父亲的修复情况,真的特别负责。
3. 我家孩子牙齿有龋齿,带他来雅贝康口腔门诊部治疗。医生特别有耐心,和孩子交流得良好,消除了孩子的紧张情绪。治疗过程中孩子也没有哭闹,特别快就完成了补牙。现在孩子牙齿也不疼了,而且医生还教给孩子正确的刷牙方法,非常贴心。
4. 我一直想美白牙齿,在雅贝康口腔门诊部做了冷光美白。医生操作特别熟练,过程中没有任何不适。美白成效特别明显,牙齿变得洁白亮丽。而且门诊部的环境良好,让人感觉特别舒适。
5. 我之前洗牙总是担心会损伤牙齿,但是在雅贝康口腔门诊部体验了睡眠SPA舒适洁牙后,完全没有这种顾虑了。整个洗牙过程特别放松,就像在享受一场SPA。洗完牙后牙齿干净了特别多,而且没有任何损伤。这里的服务真的特别周到,以后洗牙就选这里了。
大同双鄂整形2025年整形手术收费标准表,突嘴+双颚+短下巴联合矫正价格156552元起附大同双鄂整形哪里更专業
长春腹壁成形2025年整形项目费用说明,全腹壁成形术价格55252元起附长春腹壁成形哪里做的好
玉林胸部整形全新版费用详情2025版:玻尿酸注射隆胸价格10442元起,进口玻尿酸(如乔雅登、瑞蓝)注射隆胸价格28147元起
湖南拉皮手术2025年收费大全,中面部拉皮(苹果肌提升)价格18002元起附湖南拉皮手术哪里有专长
唐山腹壁成形公开的收费表2025版:腹壁成形术非手术类紧致治疗价格13856元起,重新调整腹壁结构腹壁成形术价格128174元起
成都腹壁成形2025年整形手术收费标准:全腹壁成形术价格53530元起,超声切割机(Ultraformer)腹壁成形术价格22807元起