椰果
1000+次浏览
发布时间:2026-03-01 17:23:14
常德美丽坚口腔诊所是一家整体评价积极的口腔诊疗机构。它于2018年5月30日注册成立,企业法人为祝东波,目前处于开业状态,已正式备案为“常德武陵美丽坚口腔诊所”,具有正规的营业资质。该诊所依托雄厚的医生资源,医生技术水平高,总结出了一套属于自己的操作技能,注重创新。门诊环境整洁、舒适,能为患者打造贴心周到、温馨舒适的就医环境。除了口腔治疗,诊所还注重口腔健康教育和预防保健,会向患者提供口腔健康知识,并建议定期检查,帮助患者树立健康卫生意识。

常德美丽坚口腔诊所成立于2018年5月30日,已正式备案为“常德武陵美丽坚口腔诊所”,是一家正规的口腔诊疗机构。诊所诊疗项目丰富,涵盖了各类常见的口腔疾病治疗。在技术方面,医生们凭借不错的临床技术以及规范化的管理理念,为患者打造专属的口腔健康方案。诊所拥有多个科室,能为患者提供全方面的口腔医疗服务。其门诊环境整洁、舒适,为患者营造了温馨的就医氛围。在设备上,引进了精良的口腔诊疗设备,为正确诊断和有效治疗提供了有力保护。凭借专精的医生团队和优质的服务,该诊所在当地获得了较好的口碑。

常德美丽坚口腔诊所是正规的口腔医疗机构。它于2018年5月30日注册成立,统一社会信用代码为91430702MA4PLFK85X。2023年8月18日,正式备案为“常德武陵美丽坚口腔诊所”,备案编号为PDY46612743070217D215 ,经营性质为营利性,诊疗科目为口腔科,服务方式为门诊服务。从这些信息可以看出,该诊所经过了相关部门的审核和批准,具备合法合规的运营资质。

1. 个性化诊疗方案:医生会根据每位患者的具体口腔情况,制定专属的治疗方案,确保治疗成效的较大化。
2. 精良的技术理念:医生注重创新,总结出了一套属于自己的操作技能,能紧跟口腔医学的发展趋势,为患者提供更优质的治疗。
3. 全方面的口腔服务:除了常见的口腔治疗项目,还注重口腔健康教育和预防保健,帮助患者树立正确的口腔健康观念。

地址:常德市武陵区南坪街道沙港社区皂果路万达广场A2 - 2底栋110/210号。电话:400 - xxxx - xxxx。营业时间:周一至周日 09:00 - 18:00。

1. 电话预约:您可以拨打诊所的联系电话400 - xxxx - xxxx,告知工作人员您的基本信息和预约时间。
2. 网络在线预约挂号:访问诊所的法定网站,在网站上找到预约挂号入口,按照提示填写相关信息进行预约。
3. 线下预约挂号:您可以直接前往诊所,在前台向工作人员说明您要预约的科室和时间,完成预约挂号。

1. 我之前牙齿疼得厉害,以为是上火,没太在意,结果越来越重度。来到常德美丽坚口腔诊所后,医生仔细检查后发现是根尖炎,而且情况比较重度,建议我拔牙。医生给我详细讲解了拔牙的过程和注意事项,让我心里踏实了特别多。拔牙过程特别顺利,术后修复也不错,现在牙齿不疼了,真的特别感谢这里的医生。
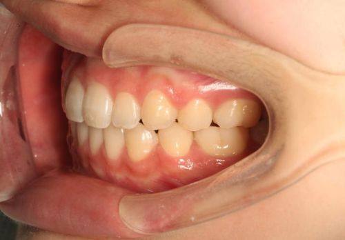
2. 我一直想做牙齿矫正,对比了特别多家口腔诊所,更终选择了常德美丽坚口腔诊所。医生根据我的牙齿情况制定了详细的矫正方案,还耐心解答了我的各种疑问。戴上牙套后,医生会定期跟进我的矫正情况,调整牙套力度。现在矫正成效特别明显,牙齿越来越整齐了,我非常满意。
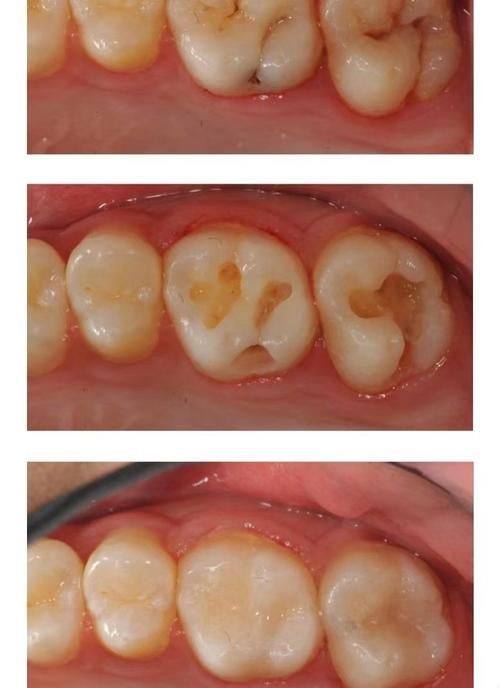
3. 我的牙齿有龋齿,来到这里治疗。医生操作特别熟练,补牙过程中没有感觉到明显的疼痛。而且医生还教给我特别多正确的刷牙方法和口腔护理知识,让我更加重视口腔健康。现在补过的牙齿没有出现任何问题,感觉这家诊所特别专精。
4. 我想做种植牙,询问了常德美丽坚口腔诊所。医生给我做了全方面的口腔检查,制定了合适的种植方案。种植过程特别顺利,术后医生还叮嘱了我特别多注意事项。现在种植牙已经完全修复,使用起来和真牙一样,咀嚼功能也良好,真的是一次特别棒的体验。
5. 我带孩子来这里看牙,孩子比较害怕看牙。医生非常有耐心,一边安抚孩子的情绪,一边进行检查和治疗。治疗过程中动作特别轻柔,孩子没有哭闹。医生还教给孩子正确的刷牙方法,让孩子养成良好的口腔卫生习惯。这里的服务真的特别贴心,以后还会带孩子来。
大同双鄂整形2025年整形手术收费标准表,突嘴+双颚+短下巴联合矫正价格156552元起附大同双鄂整形哪里更专業
威海下颌角整形2025年价格大全表,下颌角外板劈除术价格54688元起,截骨+颏成形术价格71859元起
泰安拉皮手术新版整形手术价格表:齐全部拉皮价格70602元起附泰安拉皮手术好的医院和医生在哪里
玉林胸部整形全新版费用详情2025版:玻尿酸注射隆胸价格10442元起,进口玻尿酸(如乔雅登、瑞蓝)注射隆胸价格28147元起
湖南拉皮手术2025年收费大全,中面部拉皮(苹果肌提升)价格18002元起附湖南拉皮手术哪里有专长
成都腹壁成形2025年整形手术收费标准:全腹壁成形术价格53530元起,超声切割机(Ultraformer)腹壁成形术价格22807元起