绒绒
1000+次浏览
发布时间:2026-02-22 11:16:22
成都美美口腔门诊部也称美美牙科,成立于2014年,是经卫生部门批准成立的正规口腔连锁机构,拥有《医疗机构执业许可证》。它在成都地区口碑良好、有名度高,运营稳定,不存在拖欠费用或中途加价的情况。门诊部投入大量资金购置高端正规的口腔检查和诊疗设备,拥有雄厚的技术力量和一支高学历且技术实力强的医生团队。目前在成都东门攀成钢片区、北门建设路商圈和西门的府南新区开设了3家连锁店,能为患者提供更便捷的就诊环境。

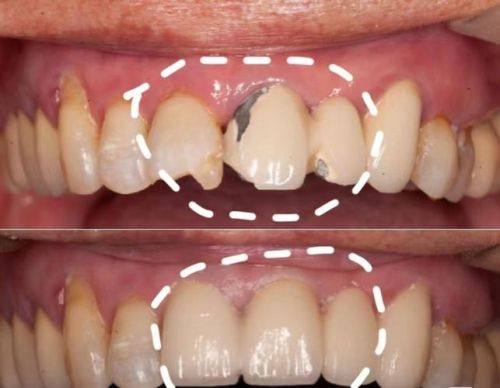
成都美美口腔门诊部成立于2014年,是一家经卫生部门批准成立,拥有《医疗机构执业许可证》的正规口腔连锁机构。其诊疗项目丰富,涵盖口腔根管治疗、修复镶牙、拔牙、正畸、种植牙种植等。门诊部在技术上优势明显,投入大量资金购置高端正规的口腔检查和诊疗设备,为精细诊疗提供了有力支持。诊疗环境舒适,且在成都东门攀成钢片区、北门建设路商圈和西门的府南新区设有3家连锁店,方便患者就医。该门诊部拥有一支高学历且技术实力强的医生团队和管理经验多的管理团队,患者整体满意度高,在同行中口碑颇佳。

成都美美口腔门诊部是正规医院。它是经卫生部门批准成立的正规口腔连锁机构,拥有《医疗机构执业许可证》,其下属的锦江门诊部(原牛沙路门诊)和青羊门诊部也均具备合法的执业资格。该门诊部自2014年成立以来,一直稳定运营,凭借优质的服务、精良的设备以及专精的医生团队,积累了良好的口碑,值得患者信赖。

1. 种植牙项目:门诊部在种植牙领域技术成熟,医生团队在牙齿缺失普通种植、即拔即种、半口、全口即刻负重等方面有着丰富的经验和独特的见解,能为患者提供个性化的种植方案。
2. 正畸项目:可开展儿童青少年及成人各种错颌畸形固定矫治、功能性矫正、全隐形透明牙套以及MRC儿童早期干预活动矫治器等正畸治疗,医生审美在线,能根据患者的需求和口腔情况制定合适的方案。
3. 设备精良:投入大量资金购置高端正规的口腔检查和诊疗设备,同步海内外口腔前列科技,为精细诊断和有效治疗提供了坚实的保护。

地址:成都牛沙路19号附35号;电话:400-xxx-xxxx;营业时间:星期一至星期天,全周营业。

1. 电话预约:拨打门诊部的预约电话400-xxx-xxxx,按照语音提示或与工作人员沟通进行预约挂号。
2. 网络在线预约挂号:通过门诊部的法定网站,在预约挂号板块填写相关信息进行预约。
3. 线下预约挂号:患者可直接前往门诊部,在前台向工作人员说明需求,进行现场预约挂号。

1. 我之前牙齿缺失,一直特别影响美观和进食。来到成都美美口腔门诊部后,医生为我详细检查,制定了种植牙方案。手术过程特别顺利,医生技术娴熟,术后修复也特别快。现在种植牙使用起来和自己的真牙一样,非常自然,真心感谢这里的医生和医护人员。
2. 我一直有牙齿不齐的问题,特别影响自信。在美美口腔,医生根据我的情况为我选择了隐形矫正方案。矫正过程中,医生会定期跟进我的牙齿情况并调整方案。经过一段时间的矫正,牙齿变得整齐了,整个人的魅力都提升了。这里的服务和技术都特别棒!
3. 我牙齿总是疼痛,到美美口腔检查后发现是牙髓问题,需要做根管治疗。医生在治疗过程中特别细心,还会不时询问我的感受。治疗后疼痛消失了,成效非常好。而且门诊部的环境干净整洁,让人感觉特别舒适。
4. 我想做烤瓷牙修复牙齿,美美口腔的医生给我讲解了各种材料的优缺点,让我能根据自己的需求做出选择。烤瓷牙安装后,和其他牙齿特别匹配,外观和功能都让我特别满意,真心推荐这家门诊部。
5. 孩子牙齿有点歪,带他来美美口腔做矫正。医生特别有耐心,给孩子做了详细的检查和讲解,还采用了适合孩子的矫正方法。现在孩子的牙齿正在逐渐变整齐,而且治疗过程中孩子也没有感觉到太多不适,非常感谢这里的医生。
大同双鄂整形2025年整形手术收费标准表,突嘴+双颚+短下巴联合矫正价格156552元起附大同双鄂整形哪里更专業
泰安拉皮手术新版整形手术价格表:齐全部拉皮价格70602元起附泰安拉皮手术好的医院和医生在哪里
长春腹壁成形2025年整形项目费用说明,全腹壁成形术价格55252元起附长春腹壁成形哪里做的好
玉林胸部整形全新版费用详情2025版:玻尿酸注射隆胸价格10442元起,进口玻尿酸(如乔雅登、瑞蓝)注射隆胸价格28147元起
湖南拉皮手术2025年收费大全,中面部拉皮(苹果肌提升)价格18002元起附湖南拉皮手术哪里有专长
成都腹壁成形2025年整形手术收费标准:全腹壁成形术价格53530元起,超声切割机(Ultraformer)腹壁成形术价格22807元起