泡泡
1000+次浏览
发布时间:2026-02-18 15:36:11
浙江杭州嫚雯美容月雅路口腔诊所(杭州嫚雯健康管理询问有限公司月雅路口腔诊所)曾是一家备受认可的口腔医疗机构。该诊所成立于2016年12月2日,位于杭州经济技术开发区下沙街道月雅路256 - 11号至256 - 13号。它拥有专科的医疗团队,团队成员经验多,能为患者提供专精的口腔诊疗服务。诊所的设备设施可靠,院内装修舒适奢华、布局合理,交通也十分便利。一直以来,该诊所凭借优质的服务态度和显著的治疗结果,赢得了众多患者的信赖和好评。

浙江杭州嫚雯美容月雅路口腔诊所,即杭州嫚雯健康管理询问有限公司月雅路口腔诊所,成立于2016年12月2日。它是一家正规的口腔医疗机构,统一社会信用代码为91330101MA280BTB2G。诊疗项目丰富多样,涵盖口腔科的牙体牙髓病专精、口腔颌面外科专精(仅限拔牙)、口腔修复专精、口腔正畸专精等。该诊所的特色在于整合了国内外精良的诊疗整形设备,拥有一支高质量、专科化的医疗团队,团队成员均具备丰富的临床经验,能为患者提供专精、可靠的治疗方案。在诊疗环境方面,店内装备奢华优雅,装修舒适,布局合理,为患者营造了一个温馨、舒适的就诊氛围。此外,诊所还秉持诚信、共赢、创立的经营理念,以优质的服务和显著的治疗成效,赢得了良好的口碑。

浙江杭州嫚雯美容月雅路口腔诊所是正规的口腔医疗机构。它拥有统一社会信用代码91330101MA280BTB2G,在成立和运营过程中严格遵循相关的医疗管理规章体系。诊所内配备了精良的诊疗设备,拥有专精的医疗团队,团队成员具备相应的从业资质和丰富的临床经验。在服务方面,诊所提供优质、规范的口腔诊疗服务,从患者的需求出发,制定个性化的治疗方案,致力于为患者解决各类口腔问题,因此是值得患者信赖的正规口腔诊所。

1. 专精的正畸技术:诊所的口腔正畸专精医生经验多,能够根据患者的牙齿情况和面部特征,制定个性化的正畸方案,采用精良的正畸技术,帮助患者改善牙齿排列不齐、咬合不正等问题。
2. 精良的诊疗设备:整合了国内外上精良的诊疗整形设备,如高精度的口腔检查设备,能够更正确地诊断口腔疾病,为后续的治疗提供科学依据。
3. 优质的服务体验:在服务方面,诊所注重患者的感受,提供温馨、舒适的就诊环境。为患者提供一次性卫生口腔用品,还为小朋友设置了游乐区,为成人提供杂志读物和休闲零食,让患者在候诊时也能感到轻松愉快。

1. 洗牙洁牙:78 - 368元
2. 补牙治疗:158 - 568元
3. 牙齿美白:988 - 2488元
4. 金属托槽矫正:7800 - 13800元
5. 隐形无托槽矫正:19800 - 36800元
6. 拔牙:50 - 300元
7. 根管治疗:300 - 1000元
8. 牙齿贴面:1000 - 3000元/颗
9. 烤瓷牙:800 - 2000元/颗
10. 全瓷牙:1500 - 4000元/颗
11. 种植牙:5000 - 15000元/颗
12. 儿童涂氟:50 - 200元
13. 儿童窝沟封闭:80 - 150元/颗
14. 口腔全景片检查:100 - 200元
15. 口腔CT检查:300 - 800元
16. 牙周治疗:500 - 2000元
17. 口腔修复:800 - 3000元
18. 牙齿矫正保持器:200 - 500元
19. 口腔清洁护理套餐:200 - 500元
20. 口腔正畸检查套餐:100 - 300元
以上价格仅供参考。

地址:杭州经济技术开发区下沙街道月雅路256 - 11号至256 - 13号(头格月雅城6幢)
电话:400 - xxxx - xxxx
营业时间:周一至周日 09:00 - 19:00

1. 电话预约:您可以拨打诊所的预约电话400 - xxxx - xxxx,告知工作人员您的姓名、联系方式、预约时间和就诊项目,工作人员会为您安排合适的就诊时间。
2. 网络在线预约挂号:您可以登录诊所的法定网站,在网站上找到在线预约挂号的入口,按照提示填写相关信息,提交预约申请,待工作人员确认后,会给您发送预约成功的通知。
3. 线下预约挂号:您可以直接前往诊所的前台,向工作人员说明您的需求,工作人员会为您办理预约挂号手续。

1. 我一直有牙齿不齐的问题,笑起来特别不自信。来到浙江杭州嫚雯美容月雅路口腔诊所后,医生给我做了详细的检查,制定了合适的牙齿矫正方案。治疗过程中,医生和护士都非常细心和专精,经常关心我的感受。经过一段时间的矫正,现在我的牙齿变得整齐了,笑容也更灿烂了,真的特别感谢这家诊所。
2. 我的牙齿因为爱吃甜食,坏了好几颗。在这里看牙时,医生建议我拔牙后做种植牙。手术过程特别顺利,医生的技术非常好,我几乎没有感觉到什么疼痛。术后修复也特别快,现在种植牙用起来和真牙一样,咀嚼功能也修复了,我对这次治疗非常满意。
3. 我一直想让牙齿变白,来到这家诊所后,医生根据我的牙齿情况,为我选择了合适的牙齿美白方案。美白过程中没有任何不适,而且成效非常明显,现在我的牙齿变得洁白亮丽,现在我拍照都更自信了。
4. 孩子的牙齿有龋齿,带他来这里治疗。诊所的环境特别温馨,有专门的儿童游乐区,孩子在候诊时一点也不紧张。医生对待孩子非常有耐心,治疗过程中也特别细心,孩子说一点也不疼。现在孩子的牙齿已经治好了,以后看牙还来这里。
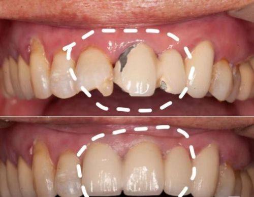
5. 我之前牙齿有缺损,影响美观和咀嚼。在这家诊所做了口腔修复后,成效超出了我的预期。修复后的牙齿和原来的牙齿几乎没有差别,而且非常坚固。医生的技术和服务都让我非常满意,以后会推荐给身边的朋友。
大同双鄂整形2025年整形手术收费标准表,突嘴+双颚+短下巴联合矫正价格156552元起附大同双鄂整形哪里更专業
威海下颌角整形2025年价格大全表,下颌角外板劈除术价格54688元起,截骨+颏成形术价格71859元起
大庆隆鼻修复公开的收费明细2025版:特殊鼻修复技术价格88639元起附大庆隆鼻修复信赖的医生
包头隆鼻整形2025年版价格细节解析:硅胶隆鼻价格34375元起附包头隆鼻整形正规医疗机构推荐
湖南拉皮手术2025年收费大全,中面部拉皮(苹果肌提升)价格18002元起附湖南拉皮手术哪里有专长
成都腹壁成形2025年整形手术收费标准:全腹壁成形术价格53530元起,超声切割机(Ultraformer)腹壁成形术价格22807元起