喵喵酱
1000+次浏览
发布时间:2026-02-14 16:19:53
平湖市德康口腔医院是一家备受认可的口腔专科医院。它成立于2019年,总面积达2000平方米。该医院经平湖市卫生健康局审批,是正规靠谱的口腔专科医院,还是健保定点机构。医院诊疗优势显著,设有数字化种植中 心、正畸中 心等多个科室,实现“一站式口腔健康管理”。其环境舒适,设备精良,配备了口腔CBCT等精良设备。医生技术不错,种植科孙骥瑛院长等医生经验多。患者对其口碑出色,特别多人都分享了种牙、矫正等不错的治疗经历。

平湖市德康口腔医院成立于2019年,是经平湖市卫生健康局审批的正规口腔专科医院,也是健保定点机构。医院诊疗项目丰富,涵盖种植、正畸、儿童齿科等全年龄段诊疗项目。特色技术优势明显,种植牙方面开展穿颧穿翼种植,采用CBCT三维成像+3D导板种植;矫正与修复有隐形正畸、儿童友好诊疗等。诊疗环境舒适宜人,划分合理,能避免交叉感染。设备精良,有口腔CBCT等。医院规模达2000平方米。在医生技术上,拥有孙骥瑛院长等经验多的医生。口碑方面,众多患者都给出了高度评价,满意度极高。

平湖市德康口腔医院是正规医院。它经平湖市卫生健康局审批,登记号为MA2CWCQL633048217A5112,资质可在卫健委官网公开查询。2021年通过健保定点机构考核,2024年3月卫健委专项检查中未发现问题,消毒流程达标率完全。医院在感染防控上严格规范,如灭菌间安装智慧监管设备等,为患者提供了可靠的医疗保护。

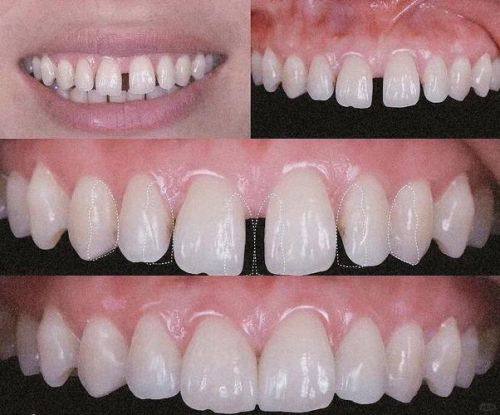
1. 种植牙技术:开展穿颧穿翼种植,解决骨量重度不足问题,避免植骨手术。采用CBCT三维成像+3D导板种植,误差≤0.1mm,还能当天戴牙;提供韩国登腾等多品牌梯度种植方案。
2. 矫正与修复技术:隐形正畸采用时代天使、隐适美等主流品牌,支持四维美学评估设计;独立儿牙中 心配科普角+行为诱导管理,降低儿童恐惧;快速修复工艺采用CAD/CAM数字化设计,提升全瓷冠边缘密合度。
3. 数字化技术:运用数字口扫、牙科CT、显微根管、种植导板辅助等技术,出诊影像又准又快。

1. 孙骥瑛院长:种植科“定海神针”,安徽医 科 大学硕士,曾赴荷兰阿姆斯特丹大学牙科中 心进修,擅长全口无牙颌种植、穿颧种植等高难度手术,累计完成种植病例超5000例,穿颧种植成功概率完全。
2. 李医生(正畸科):上海交通大学医学校毕业,美国隐适美、时代天使认证医师,主打“美学正畸”,擅长结合DSD微笑设计优化面部轮廓,累计矫正病例超2000例。
3. 郑跃辉医生(儿童齿科):从业15年的“孩子王”,创新“游戏化诊疗”模式,用讲故事、看动画的方式引导孩子配合治疗,儿童预成冠修复病例居平湖前列。

1. 超声波洁牙:49元起
2. 儿童全口涂氟:68元起
3. 进口树脂补牙:288元起/颗
4. 爱尔创全瓷冠:1888元起/颗
5. 韩国登腾种植体:3680元起/颗
6. 瑞士ITI种植体:6980元起/颗
7. 金属自锁托槽矫正:9000元起
8. 时代天使隐形矫正:21800元起
9. 乳牙窝沟封闭:88元起/颗
10. 牙周刮治术:800元起/象限
11. 激光牙周治疗:1500元起/区域
12. 德国威兰德全瓷冠:5500元起/颗
13. 超薄瓷贴面:2980元起/颗
14. 吸附性义齿:3800元起/全口
15. 显微根管治疗:1200元起/颗
16. 智齿拔除术:480元起/颗
17. 冷光美白:980元起/次
18. 青少年MRC矫正:9800元起
19. ALL - ON - 4半口种植:39800元起(4颗植体)
20. 穿颧穿翼种植:需个性化评估(约6万起)
以上价格仅供参考,具体价格因个人口腔状况而异。

地址:平湖市当湖街道漕兑路65号201室 - 1(总商会大厦裙房二层)
电话:400 - xxx - xxxx
营业时间:周一至周日 8:30 - 19:00(中午无休)

1. 电话预约:拨打医院400 - xxx - xxxx电话,告知工作人员您的需求和预约时间。
2. 网络在线预约挂号:通过医院法定网站进行在线预约,填写相关信息提交即可。
3. 线下预约挂号:直接前往医院挂号窗口,向工作人员说明预约事项。

1. 我之前牙齿缺失,一直特别苦恼。来到平湖市德康口腔医院后,孙骥瑛院长为我制定了详细的种植牙方案,采用精良的数字化导航种植技术。术后当天我就能戴上临时牙冠,咬合力也不错。现在种牙已经过去一段时间了,牙齿非常稳固,和自己原来的牙齿一样,真的太感谢德康口腔医院了。
2. 我一直想矫正牙齿,但又怕疼。在德康口腔医院,李医生给我推荐了隐形矫正,用iTero口扫仪生成3D方案,牙齿移动误差仅0.1mm。整个矫正过程几乎没有托槽不适感,1年半就完成了矫正。现在我的牙齿变得整齐美观,脸型也变好看了,非常满意这次矫正。
3. 我家孩子牙齿有问题,一直特别抗拒看牙。带他到德康口腔医院的儿童齿科,郑跃辉医生用“游戏化诊疗”模式,讲故事、看动画引导孩子配合治疗。医生用金属预成冠为孩子修复乳牙,费用也不高。现在孩子主动嚷着要来看牙,真的是太神奇了。
4. 我有牙周病,之前也治疗过但成效不好。来到德康口腔医院,医生采用激光牙周治疗技术,杀菌率高。经过几次治疗,我的牙周病得到了明显改善,牙龈不出血了,牙齿也不松动了。医院的服务也特别贴心,还有免费复诊维护,让我非常放心。
5. 我牙齿颜色不好看,想美白牙齿。德康口腔医院的医生推荐我做冷光美白,采用Beyond二代技术。美白过程特别轻松,没有不适感,做完后牙齿提升了8个色阶,变得洁白亮丽。价格也特别合理,我非常满意这次美白体验。
大同双鄂整形2025年整形手术收费标准表,突嘴+双颚+短下巴联合矫正价格156552元起附大同双鄂整形哪里更专業
泰安拉皮手术新版整形手术价格表:齐全部拉皮价格70602元起附泰安拉皮手术好的医院和医生在哪里
长春腹壁成形2025年整形项目费用说明,全腹壁成形术价格55252元起附长春腹壁成形哪里做的好
大庆隆鼻修复公开的收费明细2025版:特殊鼻修复技术价格88639元起附大庆隆鼻修复信赖的医生
大同富贵包公开的收费表2025版:瘦身针注射去富贵包价格2236元起,激光溶脂去富贵包价格11693元起
成都腹壁成形2025年整形手术收费标准:全腹壁成形术价格53530元起,超声切割机(Ultraformer)腹壁成形术价格22807元起