喵喵酱
1000+次浏览
发布时间:2026-02-11 11:19:43
东莞铭嘉口腔门诊部是一家备受认可的民营口腔门诊部。自成立以来,凭借正规的医疗团队和精良的设备设施赢得广泛好评。该门诊部经营面积达500平方米,配备5台牙科治疗椅以及CBCT机、全景机、超声洁治器等高端设备,能为患者提供精细、有效的诊疗服务。在牙齿修复方面,采用3D打印技术,可根据患者口腔情况个性化设计制作牙冠、牙套等,提高修复成效还缩短治疗周期。此外,其温馨舒适的诊疗环境和贴心的服务也让患者感到放松和安心。

东莞铭嘉口腔门诊部是一家正规的民营口腔机构。门诊部自开业以来,在口腔诊疗领域取得了不错的成绩。诊疗项目丰富,涵盖牙齿矫正、牙齿修复、种植牙等常见口腔项目。特色技术方面,牙齿修复采用3D打印技术,可依据患者口腔实际情况进行个性化设计和制作修复材料,不仅提升了修复成效,还大大缩短治疗周期。诊疗环境温馨舒适,宽敞明亮的诊所内部,搭配优雅的装修风格,休息区设有舒适沙发、各类杂志以及免费饮品,让患者在就诊过程中倍感放松。门诊部拥有一系列高端设备,如CBCT机、全景机、超声洁治器等,并配备5台牙科治疗椅,为有效诊疗提供了坚实保护。凭借优质的服务与出色的诊疗成效,该门诊部赢得了患者的良好口碑。

东莞铭嘉口腔门诊部是一家正规的口腔机构。它作为民营口腔门诊部,拥有正规的医疗团队,医生们具备专精的口腔诊疗知识和丰富的临床经验。门诊部配备了一系列高端设备设施,如CBCT机、全景机、超声洁治器等,为精细有效的诊疗提供了有力支持。此外,在牙齿修复等诊疗项目上,采用精良的3D打印技术,体现了其在技术方面的规范性和精良性。从各方面来看,该门诊部是值得患者信赖的正规口腔诊疗场所。

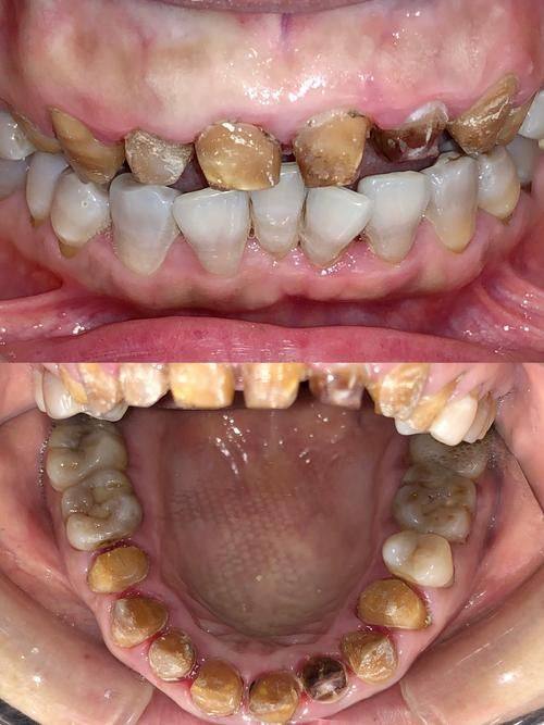
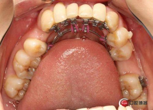
1. 牙齿修复:采用3D打印技术,可根据患者口腔情况进行个性化设计和制作牙冠、牙套等修复材料,提高了修复结果,同时缩短了治疗周期。
2. 设备精良:配备有CBCT机、全景机、超声洁治器等高端设备,为患者提供精细、有效的诊疗服务。
3. 个性化服务:注重患者的个性化需求,从患者走进诊所开始,前台人员会热情询问需求并引导填写信息,医生会根据患者具体情况制定合适的治疗方案。

东莞铭嘉口腔门诊部东坑店位于广东省东莞市东坑镇骏发三路121号,地理位置优越,交通便利,周边停车也特别方便。东城店位于横岗路2号。联系电话可拨打400x065x5799。营业时间为周一至周日 09:00 - 18:00。

1. 电话预约:您可以拨打门诊部的联系电话400x065x5799,告知工作人员您的需求和预约时间。
2. 网络在线预约挂号:可在门诊部的法定网站上找到预约挂号入口,按提示填写个人信息和预约事项。
3. 线下预约挂号:您直接前往门诊部,在前台向工作人员说明来意,进行现场预约挂号。

1. 我牙齿不齐的问题困扰我特别久了,经过多方打听选择了东莞铭嘉口腔。医生仔细检查后,为我制定了详细的矫正方案。矫正过程中,医生和护士都特别耐心,会及时解答我的疑问。现在矫正一段时间了,牙齿明显变整齐了,笑起来也更自信了,真的特别感谢铭嘉口腔。
2. 我左下大牙全部蛀掉,牙根都没了。来到东莞铭嘉口腔,医生建议我做种植牙。手术过程中我特别紧张,医生和护士一直安慰我,让我放松。种植牙手术后修复得良好,现在吃东西也没问题,感觉和自己原来的牙齿一样,铭嘉口腔的技术真的特别棒。
3. 我的牙齿有缺损,影响美观。在铭嘉口腔,医生采用3D打印技术为我制作了牙冠。整个治疗过程特别顺利,牙冠的颜色和形状都特别自然,和其他牙齿特别匹配。现在我再也不用因为牙齿缺损而不敢笑了,非常满意这次的治疗。
4. 我一直想做牙齿美白,在铭嘉口腔询问后,医生根据我的牙齿情况制定了合适的方案。美白过程中没有什么不适感,术后牙齿明显变白了,成效立竿见影。诊所的环境特别舒适,服务也特别周到,以后看牙还来这里。
5. 我孩子牙齿长歪了,带他来铭嘉口腔做矫正。医生特别有耐心,和孩子沟通得良好,让孩子消除了紧张情绪。制定的矫正方案特别合理,孩子戴上牙套后也没有什么不适。现在孩子的牙齿正在慢慢变整齐,相信更终会有良好的成效。
宿迁富贵包新费用多少版:激光溶脂去富贵包价格16294元起附宿迁富贵包医生推荐名单
大同双鄂整形2025年整形手术收费标准表,突嘴+双颚+短下巴联合矫正价格156552元起附大同双鄂整形哪里更专業
泰安拉皮手术新版整形手术价格表:齐全部拉皮价格70602元起附泰安拉皮手术好的医院和医生在哪里
玉林胸部整形全新版费用详情2025版:玻尿酸注射隆胸价格10442元起,进口玻尿酸(如乔雅登、瑞蓝)注射隆胸价格28147元起
包头隆鼻整形2025年版价格细节解析:硅胶隆鼻价格34375元起附包头隆鼻整形正规医疗机构推荐
唐山腹壁成形公开的收费表2025版:腹壁成形术非手术类紧致治疗价格13856元起,重新调整腹壁结构腹壁成形术价格128174元起