桃叽
1000+次浏览
发布时间:2026-02-09 18:14:09
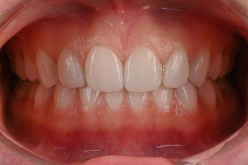
大连美尔口腔(秀月门诊)是大连市地区大规模的专精口腔机构品牌。它始建于2001年,是美维口腔投资管理集团成员单位,也是中华口腔理事单位、大连口腔协会副会长单位等。该门诊汇聚了中韩两国骨干医生,拥有高超的医疗技术,保持着5000例骨突牙齿矫正无投诉记录,深得当地老百姓认可。院内环境舒适,科室环境良好,还为患者提供一站式服务,让患者能得到满意的治疗。

大连美尔口腔(秀月门诊)创立于2001年,是正规的口腔连锁医疗机构,也是医疗保险定点单位。门诊专精开设口腔治疗、正畸、美容、修复、种植三大诊疗中 心。拥有“美国3M自锁托槽正畸”“活动翼矫正技术”等多种特色技术,能解决患者的口腔科疾病治疗难题。门诊内环境舒适,科室环境良好,还配备精良的医疗设备。医护人员近百人,综合治疗台近50台,规模较大。它是中华口腔理事单位、大连口腔协会副会长单位等,在业内有着较高的声誉。医生团队实力强大,经验多,口碑评价颇佳。

大连美尔口腔(秀月门诊)是正规的口腔医疗机构。它始建于2001年,是美维口腔投资管理集团成员单位,同时还是中华口腔理事单位、大连口腔协会副会长单位等。作为医疗保险定点单位,其正规性得到了相关部门的认可。门诊汇聚了中韩两国骨干医生,拥有精良的医疗技术和管理模式,为患者提供安心、绿色的医疗服务。

1. 牙齿矫正技术多样:拥有“美国3M自锁托槽正畸”“活动翼矫正技术”“普通金属托槽疗法”“舌侧隐形矫治疗法”“陶瓷托槽半隐形牙齿正畸疗法”等,能满足不同患者的需求。
2. 骨突牙齿矫正经验多:保持着5000例骨突牙齿矫正无投诉记录,凭借高超的技术获得患者认可。
3. 牙齿修复实力强:医生团队擅长各种牙齿修复项目,包括牙齿面瓷贴面等,为患者提供优质的修复服务。

地址:解放路。电话:400 - xxxx - xxxx。营业时间:周一至周日 09:00 - 18:00。

1. 电话预约:拨打400 - xxxx - xxxx,按照语音提示进行预约挂号。
2. 网络在线预约挂号:登录医院法定网站,在预约挂号板块填写相关信息进行预约。
3. 线下预约挂号:前往大连美尔口腔(秀月门诊),在前台直接进行预约挂号。

1. 我之前牙齿排列不整齐,一直特别自卑。来到大连美尔口腔(秀月门诊)后,医生为我制定了“美国3M自锁托槽正畸”方案。经过一段时间的矫正,牙齿变得整齐了特别多,而且整个矫正过程中没有太多不适。这里的医生和护士都特别亲切,会耐心解答我的疑问,让我特别安心。
2. 我有骨突牙齿的问题,一直不敢张嘴大笑。在大连美尔口腔(秀月门诊)做了矫正后,成效非常好。医生技术高超,手术过程特别顺利,术后修复也特别快。现在我的牙齿变得整齐美观,我也变得更加自信了。
3. 我的牙齿有缺损,影响美观和咀嚼功能。在这家门诊做了牙齿修复,选择了牙齿面瓷贴面。医生根据我的牙齿情况进行设计,贴完后成效自然逼真,和真牙几乎没有区别。而且服务也特别周到,让我特别满意。
4. 我想改善牙齿的颜色和形态,医生推荐了陶瓷托槽半隐形牙齿正畸疗法。矫正过程中,几乎看不出来戴了牙套,不影响美观。现在牙齿越来越整齐,笑容也更加灿烂了,非常感谢大连美尔口腔(秀月门诊)的医生们。
5. 我之前牙齿缺失,吃饭特别不方便。在大连美尔口腔(秀月门诊)做了种植牙手术,医生技术娴熟,手术特别成功。术后修复良好,现在种植牙使用起来和真牙一样,感觉特别棒。这里的环境舒适,服务也特别贴心,值得推荐。
宿迁富贵包新费用多少版:激光溶脂去富贵包价格16294元起附宿迁富贵包医生推荐名单
威海下颌角整形2025年价格大全表,下颌角外板劈除术价格54688元起,截骨+颏成形术价格71859元起
泰安拉皮手术新版整形手术价格表:齐全部拉皮价格70602元起附泰安拉皮手术好的医院和医生在哪里
长春腹壁成形2025年整形项目费用说明,全腹壁成形术价格55252元起附长春腹壁成形哪里做的好
玉林胸部整形全新版费用详情2025版:玻尿酸注射隆胸价格10442元起,进口玻尿酸(如乔雅登、瑞蓝)注射隆胸价格28147元起
湖南拉皮手术2025年收费大全,中面部拉皮(苹果肌提升)价格18002元起附湖南拉皮手术哪里有专长